


本推文记录了立心喵居2025年11月的工作内容。共特殊事件2件、绝育1只、救治5只、免疫7次、检测抗体5次、驱虫11次、清洗消毒20次。

特殊事件
松花
2025/10/31
接到老师同学反馈,10月31日停车场有猫咪不幸离世,推测极有可能是因为车祸,经证实是我们熟悉的校内流浪猫“松花”。


左右滑动查看(慎滑)
鸡腿
2025/11/10
志愿者发现鸡腿蜷缩在楼梯底下不断嚎叫,且后腿无法动弹,于是当天抓捕送医。
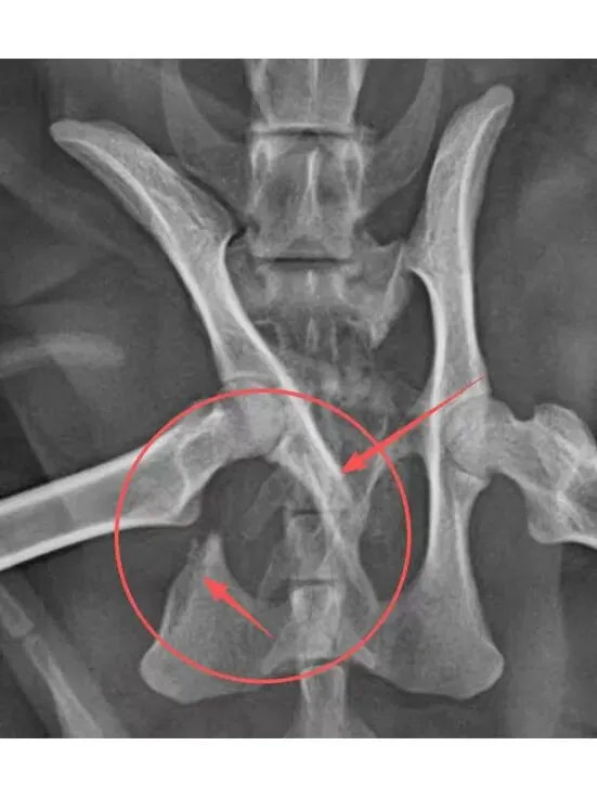
就医检查:鸡腿后肢在医生被触摸时仍有痛觉反应,经判断大概率为盆骨骨折,且右后脚带有明显伤口,具体情况需拍摄X光片来确定。鸡腿连袋重:4.95kg。
生化血常规和SAA:其他指标都正常,但是炎症指标和肌酸激酶值比较高,表明肌肉可能有损伤,骨折可能性较大,医生建议次日安排做X光检查,于是安排鸡腿当天入院做检查准备。
2025/11/11
盆骨X光片:盆骨粉碎性骨折,因十号的生化血常规和SAA指标达标,于是准备12号进行手术。
2025/11/12
下午1点送达手术医院,准备做心脏超声检查时突然应激导致心脏骤停,经抢救无效后,下午2点宣布死亡。
由于只因应激导致心脏骤停的情况较为罕见,医生在事后继续完成未进行的心超检查,发现鸡腿极有可能是因为原本存在的气胸漏液渗到肺部,从而导致肺部受压、供氧不足,加上因环境变化产生的应激,最终引发心脏骤停。以上情况表明,鸡腿极有可能在10号或者10号之前就存在肺部损伤,类似外伤引起肺挫伤。
志愿者:拿铁、土猫、冰冰、福福、周子。














左右滑动查看
TNR&救治
TNR1只、救治5只
TNR
米妮




左右滑动查看(慎滑)
2025/11/1
成功抓捕:米妮。
志愿者:双皮奶、馒馒、小筑、yayoi、挪、拿铁、尾尾、82、小沫、皂皂、周子。
2025/11/2
绝育成功:米妮(体重:3.35kg),口腔状态正常。
2025/11/4
出院放归原地:米妮。
志愿者:桑桑、周子。
救治
劳改犯-口腔内增生
起因:自开学以来,志愿者发现劳改犯食欲不振、精神萎靡的情况,且就医后检查出口腔内增生情况严重,询问医生后决定劳改犯喂药。
药物:
莫比新:每日两次,每次一片,疗程为十四天。
2025/10/20—10/22
劳改犯不吃药
2025/10/23—10/30
志愿者给劳改犯吃药
2025/10/31
劳改犯早晚都不吃药
2025/11/1—11/3
劳改犯晚上顺利吃药,白天不吃
2025/10/18-11/6
因劳改犯这段时间多次抗拒吃药,因此导致药效不明显,且伴随体重骤降的情况,遂决定送医。
志愿者:小羊、挪。

















左右滑动查看
起因:2025年10月劳改犯出现食欲不振、精神萎靡的情况,10/18就医后发现口腔增生严重。但是劳改犯10月份多次抗拒吃药,导致药效不明显,加上体重骤降,遂决定送医。
2025/11/6
成功抓捕:劳改犯,连袋重3.6kg。(2025/10/18连袋重4.15kg。)
检查情况:医生检查劳改犯口腔发现口腔内左侧的增生依旧红肿严重,推断劳改犯大概率是因口腔增生严重而导致的食欲不振,因为体重骤降,所以决定7号做生化和血常规来排除其它病因。
2025/11/7
生化和血常规检测报告:血常规结果显示白细胞上升体内,即炎症偏高。生化报告显示Ca*P指数偏低,医生解释是因为因口炎进食减少,导致的营养不均衡,补充营养即可。
救治方案:
2025/11/7
醋酸泼尼松龙片1片。
2025/11/8
阿莫西林每天两次,每次一片。
可鲁每天三次。
2025/11/9-2025/11/13
阿莫西林每天两次,每次一片。
可鲁每天三次。
怡口安每天一次。
2025/11/14
劳改犯口腔左侧的增生红肿消退,精神状态好转且体重增加,劳改犯连袋重4kg,可返校继续吃药,于是当天出院放归原地。
志愿者:拿铁、土猫、小明、胡闹、鲨鲨、VV、挪、蒸橙。










左右滑动查看
雀巢-右眼发炎
起因:2025年10月30日,志愿者发现雀巢右眼睁不开,右边脸部肿起,询问医生后决定给雀巢服用消炎药。
药物:
阿莫西林克拉维酸钾片:每日一次,每次一片,为期三到五天。
2025/11/2—11/4
志愿者给雀巢吃药。
2025/11/5
由于志愿者四号发现雀巢右眼情况恶化,有脓肿加剧右眼肿胀的情况,经志愿者协商决定于六号抓捕送医,所以五号断食一天以便第二天抓捕顺利。
2025/11/6
抓捕雀巢失败且没有吃药,但雀巢右眼相对于四号有所好转。
2025/11/7
雀巢正常吃饭没有喂药,右眼状态持续好转。
2025/11/8
因志愿者观察到雀巢右眼情况恢复正常,询问相关意见后决定给雀巢停药。
志愿者:鲷鱼、鱼鳍、胡闹、小明。







左右滑动查看
森森-脖颈处受伤
2025/11/3
有同学发现森森右侧脖颈处出现伤口且伤口附近是硬的。
2025/11/4
第二天发现森森伤口范围有血迹且疑似流脓,询问医生后医生建议及时就医清创消炎,志愿者当天抓捕森森,成功就医。
就医检查:医生触诊判断森森脖颈右侧的伤口应该存在3-5天,伤口与肌肉之间有可能已发展为较严重的空腔,可能是外伤抓挠导致,森森体重5.55kg。双耳耳道内情况正常,没有出现红肿破溃的情况(先前7月到10月耳朵不舒服)。
生化和血常规:报告指数正常。其中生化报告显示的AMY淀粉酶较高,医生结合抽血时森森心情比较紧张,判断森森适应医院环境心情放松之后该指数会下降。
救治方案:医生当场为森森伤口消毒、清创,外敷克克舒白及膏。由于森森伤口情况比较严重,需要住院7天后看伤口恢复情况。
住院7天用药:
克克舒白及膏:每日三次。
阿莫西林克拉维酸钾:每日两次,每次一片半,医生将在森森伤口恢复情况良好时停用。
志愿者:小明、橙橙、香梨、拿铁。






左右滑动查看
2025/11/4-2025/11/7
每天两次,一次一颗半阿莫西林。
每天三次,克克舒白及膏。
2025/11/8
森森伤口恢复良好,空腔部分已经长上,精神和食欲都不错,于是当日出院放归原地。
志愿者:冰冰、年糕。
2025/11/8
出院放归原地:森森。
志愿者:冰冰、年糕。
黑牛-食欲不振
起因:2025年11月5日,志愿者发现黑牛食欲不振,咳嗽加剧,询问医生后决定给黑牛服用多西环素。
药物:
盐酸多西环素片:每日一次,一次半片,为期三天。
2025/11/7
黑牛不吃药。
2025/11/8—11/10
志愿者给黑牛吃药。
2025/11/10
因志愿者观察到黑牛食欲良好,询问医生意见后决定给黑牛停药。
志愿者:冰冰、福福。




左右滑动查看
补录——九月救治
暮安-疑似皮肤病
2025/9/12-9/15
志愿者观察到暮安右颈部存在多处伤口,且呈现大面积溃烂的严重状态。因暮安不亲人,志愿者难以近距离查看。在咨询医生后,考虑到伤口存在发炎风险及可能形成空腔的情况,为避免病情进一步恶化,遂决定尽快对暮安实施抓捕行动。
2025/9/16
抓捕成功:暮安。
体重:连袋重4.85kg。
诊断结果:经医生诊断后告知,暮安伤口属于溃疡和增生情况,推测可能为病毒性感染或者自身免疫力缺陷型引发的皮肤病(如落叶天疱疮)。同时,由于伤口数量较多暮安体内已出现炎症反应,具体病因还需要进行更深入的详细检查,目前不能排除肿瘤以及自身免疫性皮肤病的可能性。医生仔细查看暮安口腔状况后,发现其口腔状态良好,并无明显异常。
救治方案:经过与医生的商讨,并结合喵居当前的经济状况,最终决定采取保守治疗的方案,让暮安回校进行为期一周的药物治疗,通过对症用药来缓解症状。
具体用药方案:服用口服醋酸泼尼松龙片(激素药)以及速诺(消炎药)。
2025/9/21、9/25、9/27-29、10/6、10/9
暮安每日服用醋酸泼尼松龙片一片,速诺一片。
志愿者:冰冰、福福、秋阳。







左右滑动查看
绝育救治抓捕&放归视频
点击查看视频
免疫
注射妙三多疫苗7次
检测抗体5次
注射妙三多疫苗7次


2025/11/1
四时注射第二针妙三多疫苗,连袋重4.4kg ,口腔状态良好,嘴唇因抓捕有轻微伤口,当天抓捕放归。
志愿者:周子、小明、82、小沫、尾尾、皂皂。

2025/11/1
金条在医院绝育后注射第一针妙三多疫苗。


2025/11/4
米妮在医院绝育后注射第一针妙三多疫苗。

2025/11/3
迪迪在医院绝育后注射第一针妙三多疫苗。


2025/11/3
汀汀在医院绝育后注射第一针妙三多疫苗。

2025/11/6
脸脸测抗体:FCV:2.1,FPV :6.0,FHV:<1.0,结果显示FPV及格,脸脸目前对猫瘟(FPV)免疫力很强,但对猫疱疹(FHV)和猫杯状(FCV)的免疫力不足或中等,尤其是对疱疹病毒的免疫力严重缺乏。于是当天补打第三针妙三多疫苗。口腔情况良好,连袋重5.35kg ,当天抓捕后放归。
志愿者:土猫、拿铁、小明、胡闹、鲨鲨、VV。



2025/11/15
米奇注射第二针妙三多疫苗,连袋重3kg,口腔状况良好。当天抓捕放归。
志愿者:土猫、拿铁、蒸橙、橙橙、吴所谓、KK、vv。
上下滑动查看
检测抗体5次


2025/11/6
脸脸测抗体:FCV:2.1,FPV :6.0,FHV:<1.0,结果显示FPV及格,脸脸目前对猫瘟(FPV)免疫力很强,但对猫疱疹(FHV)和猫杯状(FCV)的免疫力不足或中等,尤其是对疱疹病毒的免疫力严重缺乏。于是当天补打第三针妙三多疫苗。口腔情况良好,连袋重5.35kg ,当天抓捕后放归。
志愿者:土猫、拿铁、小明、胡闹、鲨鲨、VV。



2025/11/14
飞耳贼测抗体:FCV:,1.7,FPV :5.9,FHV:<1.0,结果显示FPV及格,飞耳贼目前对猫瘟(FPV)免疫力很强,但对猫疱疹(FHV)和猫杯状(FCV)的免疫力不足或中等,尤其是对疱疹病毒的免疫力严重缺乏。于是当天补打第三针妙三多疫苗。口腔情况良好,连袋重4.40kg ,当天抓捕后放归。
志愿者:拿铁、小明、挪、蒸橙。


2025/11/15
姜丝测抗体:FPV:5.1 ,FCV:8.0,FHV:8.0,结果显示全部及格。口腔状态良好 。体重:3.95kg,当天抓捕后放归。
志愿者:土猫、vv、双皮奶、KK、吴所谓。


2025/11/15
溜溜球测抗体:FPV:5.8,FHV:6.2,FCV:5.7,结果显示全部合格。口腔状况良好。连袋重3.3kg,当天抓捕后放归。
志愿者:土猫、拿铁、蒸橙、橙橙、吴所谓、KK、vv、双皮奶。



2025/11/15
姜无颜测抗体:FPV:6.1,FHV:6.3,FCV:7.0,结果显示全部及格。口腔状况良好。连袋重3.85kg,当天抓捕后放归。
志愿者:土猫、KK、vv、双皮奶、吴所谓。
上下滑动查看
免疫&放归视频
点击查看视频
妙三多疫苗的主要作用是预防猫咪的三大核心传染病:猫瘟、猫鼻支和猫杯状病毒。这三种疾病具有常见性、高传染性、高致死性等特点。喵居目前没有能力给每一只小猫打全疫苗,但如果你有特别喜欢的小猫可以考虑指定捐赠一针给它哦~
驱虫
外驱虫10次,内驱虫1次
外驱虫10次
千金滴外驱1次、汉宠净外驱1次、
汉宠欣外驱虫8次

2025/11/1
四时在医院使用千金滴外驱。

2025/11/1
金条在医院使用汉宠净外驱。

2025/11/3
迪迪各使用汉宠欣外驱虫。

2025/11/3
汀汀各使用汉宠欣外驱虫。

2025/11/14
劳改犯在医院使用汉宠欣外驱喷雾。

2025/11/14
飞耳贼在医院使用汉宠欣外驱喷雾。

2025/11/15
米奇在医院使用汉宠欣外驱喷雾。

2025/11/15
姜无颜在医院使用汉宠欣外驱喷雾。

2025/11/15
姜丝在医院使用汉宠欣外驱喷雾。

2025/11/15
溜溜球在医院使用汉宠欣外驱喷雾。
左右滑动查看
内驱虫1次
海乐妙内驱1次

2025/11/6
饱饱吃海乐妙(成猫)内驱虫药一颗。
志愿者:夙璃、长弦。
清洗&消毒
清洗&消毒20次

2025/11/2
清洗、消毒抓捕四时打疫苗工具。
志愿者:小明。

2025/11/2
清洗、消毒抓捕米妮、放归金条工具。
志愿者:尾尾。

2025/11/3
清洗、消毒放归汀汀的工具。
志愿者:小明。

2025/11/4
清洗、消毒放归迪迪的工具。
志愿者:拿铁。

2025/11/4
清洗、消毒放归米妮的工具。
志愿者:桑桑。

2025/11/4
清洗、消毒抓捕森森的工具。
志愿者:橙橙。

2025/11/6
清洗、消毒放归脸脸的工具。
志愿者:小明。

2025/11/6
清洗、消毒抓捕劳改犯的工具。
志愿者:鲨鲨。

2025/11/15
清洗、消毒抓捕飞耳贼的工具。
志愿者:蒸橙。

2025/11/15
清洗、消毒抓捕姜丝、姜无颜的工具。
志愿者:双皮奶。

2025/11/15
清洗、消毒放归劳改犯的工具。
志愿者:挪。

2025/11/15
清洗、消毒放归溜溜球的工具。
志愿者:KK。

2025/11/15
清洗、消毒放归森森的工具。
志愿者:冰冰。

2025/11/15
清洗、消毒放归米奇的工具。
志愿者:KK。

2025/11/16
清洗、消毒抓捕鸡腿的工具。
志愿者:冰冰。

2025/11/16
清洗、消毒抓捕姜无颜的工具。
志愿者:吴所谓。

2025/11/25
清洗、消毒抓捕橘小灯的工具。
志愿者:贝壳。
左右滑动查看
2025/9/27、2025/11/8、2025/11/9
全校猫点消毒
志愿者:周子、小明、小羊、楠楠、培根、拿铁、晓晓、螺狮、还原酶、皂皂、KK、橙橙、喵喵虫、LM10、贝壳、维奇、小沫、长弦、蒸橙、小月、江江、土猫、四竺、泡泡咪、咪咪云。
喵居结语
TNR是目前国际公认最人道控制流浪猫数量的方式之一,且是喵居目前能为学校流浪猫改善生活质量最基础和最主要的方式,同时也是促进校园人猫和谐相处的重要方式之一。所以在25年9月期间,喵居的TNR工作依然努力进行,且能持续稳定推进主要得益于喵居志愿者们的不懈努力,成功科学TNR1只猫咪:米妮。
喵居在救治方面成功救治了劳改犯、雀巢、森森、黑牛、暮安等需要救助的猫咪。但是由于喵居近期救治猫咪花销过大,无法负担猫咪详细检查及后续治疗的费用,如果有愿意当需要救助的猫咪第一救助人或领养猫咪可联系喵居志愿者。
在此,我们呼吁更多的爱心人士加入我们的行列,一起为小流浪们贡献一份力量。让我们携手共进,为这些小生命带来希望和温暖。
如果您也愿意帮助流浪猫提高生活质量,可以对它们进行爱的资助,喵居承诺所得收入将全部用于广商&康大范围内的流浪猫改善生活质量。
END


点击图片查看领养说明详情和待领养猫咪

扫码了解立心喵居更多内容

扫码帮助广商及康大流浪猫猫
立心喵居--志愿者名单
现职志愿者
鹎鹎 | 小白 | 周子 | 挪 | 舟舟 | 小羊 | 蛋白曲奇 | 寅亦 | 零零 | 胡闹 | 晓晓 | 秋阳 | 江江 | 楠楠 | 小明 | 肥薯 | 拿铁 | 蒸橙 | 冬至 | 螺蛳 | 橙汁 | sober | 冰冰 | 年糕 | 土猫 | 长弦 | 夙璃 | 罐头 | 星梦 | 四竺 | 福福 | 超级宇宙无敌暴龙战士 | 维奇 | 贝壳 | 灰老鼠 | 棒棒鸡 | 尾尾 | 小月 | 绿豆 | 鲨鲨 | 还原酶 | 喵喵虫 | 双皮奶 | KK | 香梨 | 花生油 | 小筑 | Jackie | yayoi | 皮猫 | 乔鱼 | 酸奶 | vv | 咩咩 | 鲷鱼 | 南鸢 | 咪咪云 | 桑桑 | 胖虎 | 馒馒 | pasta | 鱼块 | 吴所谓 | 皂皂 | 泡泡咪 | 橙橙 | LM10 | 徐雷峰 | 小沫
(所有名字排序不分先后)
✦
•
✦
往期推荐(点击蓝字查看)
✦
•
✦
排版 | 星梦
文字 | 图片 | 立心喵居志愿者 、医院、猫友
审核 | 立心喵居噶蛋大队
请在微信客户端打开
END